304-645-2088
Menu
Lewisburg
304-645-2088
Hamilton Orthodontics
Facebook
Instagram
Twitter
Home
Office Info
Meet Dr. Hamilton
Meet Our Team
Why Choose Us?
Testimonials
Complimentary Consultation
Appointment Request
Financial & Insurance
Office Policies
Map & Directions
Smiles Change Lives
Check Out Our Patient Rewards
Patient
Our Services
When to See an Orthodontist
Your First Orthodontic Appointment
Orthodontic FAQs
Patient Forms
Common Problems
Orthodontic Emergencies
Brushing & Flossing with Braces
Treatment
Early Orthodontic Treatment
Adolescent Orthodontic Care
Adult Orthodontic Treatment
Invisalign
Invisalign Teen
Contact Us
Patient Login
Smile Gallery
Before & After
Dr. Hamilton's Smiles
Home
Office Info
Meet Dr. Hamilton
Meet Our Team
Why Choose Us?
Testimonials
Complimentary Consultation
Appointment Request
Financial & Insurance
Office Policies
Map & Directions
Smiles Change Lives
Check Out Our Patient Rewards
Patient
Our Services
When to See an Orthodontist
Your First Orthodontic Appointment
Orthodontic FAQs
Patient Forms
Common Problems
Orthodontic Emergencies
Brushing & Flossing with Braces
Treatment
Early Orthodontic Treatment
Adolescent Orthodontic Care
Adult Orthodontic Treatment
Invisalign
Invisalign Teen
Contact Us
Patient Login
Smile Gallery
Before & After
Dr. Hamilton's Smiles
Hamilton Orthodontics
Lewisburg
304-645-2088
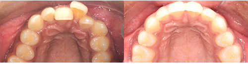
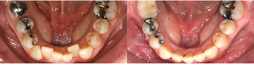
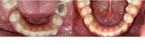
Before & After
Skip Sidebar Navigation
Before & After
Dr. Hamilton's Smiles
Last item for navigation